- Biomaterial Agnostic: Tailored for surgeons' choice of biomaterial
- Dual Delivery: Versatile side and end delivery options
- Marked Precision: Distinct markings for proximity to target


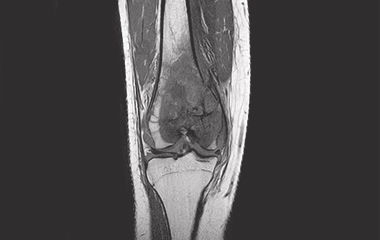
Conventional treatment of knee pain and resultant dysfunction currently does not adequately address the sources of pain due to difficulty visualizing, accessing and treating the intraosseous (bone marrow) lesion. Current clinical procedures and systems on the market only approximate the location of the lesion potentially providing a less precise clinical outcome as well as requiring fluoroscopy for localization and confirmation.
The PanPlasty® procedure and instrument system addresses current procedural and product limitations available to surgeons.



Management of early knee osteoarthritis presents a challenge for many orthopaedic surgeons and patients. Etiology from many of these patients originates from bone marrow lesions (subchondral edema) and if left untreated could lead to progressive pain, progression of arthritis, and subsequent need for knee arthroplasty(1).
Using the PanPlasty® Instrument System and custom trocar provides new and unique benefits to the surgeon and patient.
The PanPlasty Instrument System is uniquely designed to precisely target and delivery biomaterials to ensure precise treatment of intraosseous lesions potentially lessening/alleviating patient pain and delaying the need for more complex and invasive arthroplasty surgical procedures.
PanOrthopaedics, Inc. is a commercial stage company focused in early surgical intervention of joint pain utilizing our patented PanPlasty guide system. The PanPlasty guide system is the first and only precision access instrument guide treating bone marrow lesions with the ability to precisely target and deliver biomaterials in the intraosseous space.
To provide surgeons with the most precise and innovative tools for accessing and treating intraosseous lesions, improving the quality of life for patients with joint pain and dysfunction.
To become the global leader in precision orthopaedic instrumentation, delivering cutting-edge solutions for bone marrow lesions and other joint conditions.

Dr. Raj Pandya is a surgeon, inventor, entrepreneur and restaurateur. Specializing in sports medicine, knee and shoulder surgery, he is the Founder and President of the Atlanta Orthopedic Institute (AOI), AOI Surgery Center and AOI Performance Physical Therapy. He is Chairman, Founder and CEO of Unicore Health, and PanOrthopedics, and Chairman of Twisted Taco restaurant group. He serves as Medical Director and Consultant to global companies and healthcare ventures, and as Team Physician to professional, Olympic and collegiate athletic programs.